端粒酶-人體實驗針劑
專利技術簡介

PTD-J-X:由PTD、J和X三種寡、多胜肽所組合的融合蛋白質。
PTD:具細胞膜穿透能力的短胜肽。
J: 一由72個胺基酸所組成的蛋白質區塊,會和細胞內的輔助蛋白結合,促進X多胜肽摺疊成正確具功能的構型,解決目前以大腸菌生產,重組蛋白質最大的inclusion body困擾。 做疫苗使用時,J區塊會和免疫系統的警示蛋白結合,擴增誘發免疫的功效。
X:蛋白質產品。

以大腸菌生產重組蛋白質時,J-區塊會和細胞內的輔助蛋白結合, 促進X-多胜肽摺疊成正確具功能的構型。

範例:誘發高細胞型免疫--癌症疫苗之應用
分析人類 hTERT誘發細胞免疫之抗原基(epitopes)
分析人類 hTERT誘發細胞免疫之抗原基(epitopes)

截取hTERT 抗原基並組合成複合抗原(hTERTepi)

移植帶有人類hTERT基因的小鼠CT26大腸直腸癌細胞[CT26(hTERT#10)]到正常小鼠三週後,取脾臟細胞做離體培養,該脾臟細胞對CT26(hTERT#10)細胞及PTD-J-hTERTepi刺激會產生分泌IFN-γ。下圖每一個褐色點代表一個有免疫效果的細胞,點愈大表示功能愈強。

CT26:小鼠大腸直腸癌細胞
CT26(hTERT#10):表現人類hTERT之小鼠大腸直腸癌細胞
CT26(hTERT#10):表現人類hTERT之小鼠大腸直腸癌細胞

Pre-treatment組:注射CT26(hTERT)癌細胞前第9及第2天腹腔注射1,000,000個DCs或35微克PTD-J-hTERTepi wo/w 137微克PAj01;Post-treatment組:注射CT26(hTERT)癌細胞後第2及第9天腹腔注射1,000,000個DCs或35微克PTD-J-hTERTepi wo/w 137微克PAj01。皮下注射CT26(hTERT)癌細胞後第17天,測量腫瘤的大小。

注射體外增生的 Dendritic Cells (DCs)並不會明顯地刺激細胞分泌interferon-γ;PTD-J-FMDVepi 重組蛋白質合併DCs則有明顯的效果。PAj01又可以進一步增加分泌 interferon-γ的細胞數。
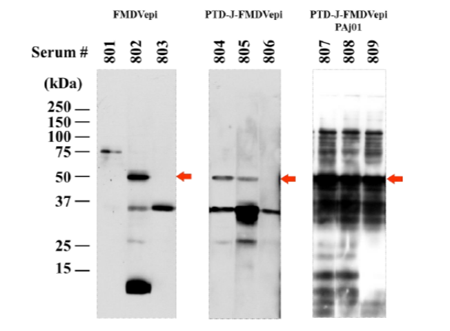
範例:提高產量與誘發體液型免疫--口蹄疫疫苗之應用
利用大腸菌生產口蹄疫抗基組合FMDVepi時,可以明顯地看出PTD-J-FMDVepi產量最高。

配合小鼠專用的PAj01佐劑,可以大大提高PTD-J-FMDVepi之免疫原性。

配合PTD-J-X專利之專用PAj佐劑:小鼠、兔子、豬、犬、貓、人。
範例:提高產量與誘發體液型免疫--口蹄疫疫苗之應用

山中(Yamanaka)四因子為可將分化的體細胞逆轉會幹細胞的四個轉錄因子。運用本專利的高產、高品質特性,生產離體使用可直接穿透體細胞的誘導幹細胞(iPSC)激活轉錄四因子。
